(เก็บข้อมูลช่วงเวลาก่อนและหลังการเข้ารับการผ่าตัดเปลี่ยนข้อเข่าเทียมของคุณแม่ เผื่อเป็นประโยชน์กับผู้สูงอายุท่านใดที่พบปัญหาเดียวกัน ขออภัยหากมีภาพการรักษาที่ดูไม่ค่อยงดงามค่ะ)
หลังจากที่คุณแม่มีอาการข้อเข่าเสื่อมมานานนับสิบปี (เริ่มสักประมาณอายุห้าสิบกว่าๆ) ด้วยการทานยา ดูแล ออกกำลัง แต่อาการก็ยังทรง และทรุด จากหัวเข่าขวา และก็เริ่มมาเป็นที่หัวเข่าซ้าย เมื่อข้อเข่าเสื่อมมากขึ้น ขาก็จะโก่งงอ และปวดเข่าเมื่อมีการเคลื่อนไหว เดินหรือยืนนานๆ ซึ่งเชื่อว่าเป็นโรคยอดฮิตของคนที่ก้าวเข้าสู่วัยชรา ด้วยการขาดการดูแล ใช้งานมาอย่างหนัก อาการที่พบก็จะเริ่มแสดงออกเรื่อย ๆ ไม่ว่าจะเป็นขาโก่งผิดรูป ยืนเดินนานเริ่มไม่ได้ มีเสียงก็อบแก็บ เห็นใจเวลาพาแม่ไปเดินเที่ยว จะใช้เวลาเดินไปไม่นาน แม่จะขอนั่งพักรอ เริ่มเป็นอุปสรรคกับการใช้ชีวิตมากขึ้น จึงอาจต้องถึงเวลาตัดสินใจ

รู้หรือไม่ ? (จากหนังสือของคุณหมอ) : คนทั่วไปมากกว่า 50% มีข้อเสื่อมอย่างน้อย 1 ข้อ คนอายุมากกว่า 75 ปี มีโอกาสเป็นข้อเสื่อมมากกว่า 85% และผู้หญิงมีอัตราเป็นโรครเข่าเสื่อมมากกว่าผู้ชาย 2 เท่า โดยการนั่งยอง ๆ นั่งขัดสมาธิ หรือนั่งพับเพียบนาน ๆ เสี่ยงทำให้ข้อเข่าเสื่อมเร็วกว่าปกติ ข้อเสื่อมที่พบบ่อยในไทยคือ ข้อเข่า กระดูสันหลังและข้อมือ
17 พ.ค. 57
เริ่มต้นของการไปตรวจกับคุณหมอ (รศ.นพ.กีรติ เจริญชลวานิช) ตามคำแนะนำจากญาติ นั่งรอคุณหมอนานหลายชั่วโมง ที่รพ.พญาไท 3 คุณหมอจะลงตรวจทุกเย็นวันเสาร์ คนไข้เยอะมาก ๆ ๆ และก็คงเป็นคนไข้ที่รักษาอาการข้อเข่าเสื่อมแทบทั้งสิ้น มีทั้งลูกค้าเก่าที่ผ่าแล้ว ลูกค้าใหม่ที่มาตรวจ (สอบถามจากผู้ป่วยที่ผ่าแล้วหลายราย ตอบคล้ายกันคือ เป็นมานาน ลูกหลานบังคับให้มาผ่า เพราะส่วนใหญ่ผู้สูงอายุจะฝืน คิดว่าไหว และเสียดายค่าใช้จ่าย รบกวนลูกหลาน ..เหมือนแม่เราเลย)



พอไปถึงก็จับเอ็กซ์เรย์ เพื่อรอแผ่นฟิล์มให้คุณหมอตรวจดู อาการเข่าเสื่อมของแม่ ก็พบว่าข้างขวาเสื่อมแน่ ๆ ส่วนข้างซ้าย ก็มีอาการเสื่อมแต่น้อยกว่า ตัดสินใจผ่าทีเดียวทั้งสองข้าง การผ่าตัดมีทั้งเปลี่ยนเฉพาะบางส่วน และเปลี่ยนเต็มข้อ สำหรับของแม่จัดเต็มข้อทั้งสองข้างเลยทีเดียว


จริง ๆ คุณหมอกีรติประจำอยู่ที่ศิริราช ปิยมหาราชการุณย์ ด้วย แต่เมื่อเทียบระยะเวลาการรอคอย รวมถึงการเดินทาง การเฝ้าไข้แล้ว ที่นี่น่าจะเหมาะสม และคำนวณค่าใช้จ่ายแล้วก็ไม่แตกต่างกัน จากนั้นก็จะมีการไปประเมิน เล่าขั้นตอนการรักษา ระยะเวลา คชจ.ต่าง ๆ ให้คนไข้ทราบคร่าว ๆ และนัดวันในการมาตรวจสุขภาพก่อนการผ่าตัด คนไข้จะได้รับน้ำยานำไปอาบน้ำเพื่อฆ่าเชื้อ โดยใช้ 5 วันก่อนการผ่าตัด ห้ามใช้ครีม โลชั่น น้ำมันใด ๆ พร้อมให้ซีดี, เอกสารคู่มือการเตรียมตัวก่อนการผ่าตัด

ซึ่งถือว่าเป็นการเตรียมความพร้อมให้กับคนไข้ได้ดีทีเดียว โดยคนไข้ต้องกลับไปออกกำลังเพื่อเตรียมความพร้อม จะทำให้หลังผ่าตัดฟื้นตัวได้รวดเร็ว
1. ฝึกการหายใจเพื่อให้การถ่ายเทของปอดดีขึ้น ป้องกันภาวะปอดแฟบ 2. ฝึกเพิ่มกำลังกล้ามเนื้อ



ค่าใช้จ่ายในการตรวจวันนี้ 1,580.-
28 มิ.ย.57
วันนัดตรวจสุขภาพก่อนการผ่าตัด จะมีตรวจปัสสาวะ เจาะเลือด X-Ray ตรวจคลื่นไฟฟ้าหัวใจ ฯลฯ และรอฟังผลจากคุณหมอในวันนั้นเลย เมื่อทุกอย่างผ่านฉลุย ไม่มีปัญหาสุขภาพที่อาจส่งผลกระทบกับการผ่าตัด หมอก็ให้ทำการผ่าตัดตามนัดได้ ค่าใช้จ่ายในการตรวจวันนี้ 600.- พร้อมชำระค่ามัดจำล่วงหน้าก่อนเข้าผ่าตัด 4,280.-
12 – 17 ก.ค. 57
ช่วงเวลาของการ Admit เข้ารับการผ่าตัดเปลี่ยนข้อเข่าเทียมที่โรงพยาบาล ตามแพคเกจทุกคนจะเหมือนกัน จะอยู่รพ. 6 วัน5 คืน
วันแรก : เริ่มผ่าตัดกันที่วันแรกเลย เพราะผ่านการเช็คสุขภาพและเตรียมตัวก่อนผ่ามาแล้ว คุณแม่นัดคิวผ่าเป็นรายแรกของวัน ใจสู้จริงๆ (วันนั้นมีถึง 16 เคส รวม 20 ข้อเลยทีเดียว) วันนี้ก็มีแค่วัดความดัน, เจาะเลือด, ทำความสะอาด, ลงนามยินยอม และพยาบาลจะมาอธิบายผู้ป่วยถึงขั้นตอนการรักษา


11.50 น. ได้เวลาเข้าห้องผ่าตัด การผ่าตัดจะใช้วิธีบล็อกหลัง และให้ยานอนหลับ
Q: ทำไมบล็อกหลังแล้ว ยังต้องให้ยานอนหลับด้วยอ่ะคะ ถ้างั้นทำไมไม่ดมยาสลบไปเลย
A: ถ้าผ่าท่อนล่าง หมอจะใช้วิธีบล็อกหลัง แต่เกรงผู้ป่วยจะเห็นการทำงานหรือได้ยินเสียงขณะผ่า จะกังวลใจเลยให้ยานอนหลับด้วย แต่จะไม่เลือกวิธีดมยาเพราะมีผลข้างเคียงกับคนไข้เยอะกว่าการบล็อกหลัง
ผ่านไป 2 ชม.ครึ่ง ประมาณ 14.30 น. ก็พาคนไข้เข้าพักในห้อง ICU พักที่นี่ 1 คืนเพื่อเฝ้าสังเกตอาการ ญาติจะเยี่ยมได้ตามเวลาคือ 07.00-08.00, 11.00-14.00 และ 18.00-20.00 น. ในห้องนี้ก็รวบรวมไว้ซึ่งเคสผ่าเข่าทั้งนั้น อาการข้างเคียงจากฤทธิ์ของการบล็อกหลังคือ อาเจียน, คัน ซึ่งคุณแม่ก็จัดเต็ม ครบทุกอาการ ผู้ป่วยรายอื่น ๆ ก็มีทั้งอายุอ่อนกว่า แก่กว่า / ผ่าข้างเดียว และสองข้าง / ผ่าใหม่ และแก้ไขของเก่า ในห้อง ICU เข่าที่ผ่าตัดมาจะถูกประคบด้วยเจลเย็นตลอดเวลาเพื่อลดอาการปวดบวม และมีสายน้ำเกลือ, สายอ็อกซิเจน, สายปล่อยเลือดเสียที่เกิดจากการผ่าตัด, สายปัสสาวะ และพอดีคุณแม่มีความเข้มข้นเลือดต่ำ เนื่องจากมีเลือดเสียออกเยอะ จึงให้เลือดเพิ่มอีกสองถุง (หน้าจะซีดบ่อยในช่วงแรก) 


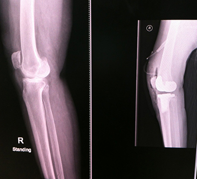
ฟิล์มเอ็กซเรย์ก่อน (ภาพซ้าย) และหลัง (ภาพขวา) ของการผ่าตัดข้อเข่าเทียม ส่วนก้อนสีขาว ๆ ของภาพทางขวามือ คือข้อเข่าเทียมที่ใส่เข้าไป
วันที่สอง : คุณหมอจะตรวจสภาพร่างกายอีกครั้ง หากไม่มีอะไรผิดปกติ ก็จะได้กลับห้องพักในช่วงบ่าย


และนักกายภาพบำบัดก็จะเริ่มมารับหน้าที่ต่อ รวมถึงพยาบาล จนท. เข้าออกอย่างถี่ เพื่อดูอาการคนไข้ตลอดเวลา ได้ยินว่าเป็นเหมือน KPI ของการผ่าตัดเลยว่า เมื่อกลับบ้านคนไข้ต้องเดินได้และช่วยเหลือตัวเองให้ได้เร็วที่สุด
วันที่สาม : นักกายภาพฯ จะเริ่มเข้ามาทำการฝึกเดินในห้อง พร้อมอุปกรณ์ยืดงออัตโนมัติ สังเกตได้ว่าองศาของการงอจะเพิ่มขึ้นได้เรื่อย ๆ ในแต่ละวัน
วันที่สี่ : วันนี้คุณหมอให้ดึงสายถ่ายเลือดเสีย ออกทั้งสองข้าง คนไข้จะเริ่มสบายและคล่องตัวขึ้น และลงไปทำกายภาพบำบัดที่แผนกกายภาพบำบัดเป็นครั้งแรก ระยะเวลาวันละ 1.30 ชม. ซึ่งเราจะเห็นบรรยากาศของเพื่อน ๆ ร่วมรุ่นผ่าเข่า ข้างเดียวบ้าง สองข้างบ้าง อายุแตกต่างกันไป ทุกคนจะได้รับการดูแล การออกกำลังตามขั้นตอนและสภาพความพร้อมของร่างกายแต่ละคน

วันที่ห้า : คนไข้จะรู้สึกสบายตัว คล่องตัวขึ้น เพราะสายน้ำเกลือ สายปล่อยเลือด สายปัสสาวะ ถูกดึงออกหมดหล่ะ เริ่มทานอาหารมีรสชาติขึ้นได้ และยังคงต้องทำกายภาพบำบัดต่อไป 
วันที่หก : วันสุดท้ายของการนอนโรงพยาบาล ก็ยังคงทำกายภาพบำบัด และทำแผลให้เป็นแบบกันน้ำได้ เพื่อให้กลับไปอาบน้ำได้

ค่าใช้จ่ายในการรักษาตามเพคเกจรวมค่าข้อเข่าเทียมอยู่ที่ราว 36x,xxx บาท (ราคานี้ รวมค่าข้อเข่าเทียม กรณีเปลี่ยนเต็มข้อ 2 ข้าง อยู่ที่ 116,202 บาท ซึ่งจะจ่ายตรงกับบริษัทผู้นำเข้าข้อเข่าเทียม ไม่ต้องผ่านราคาของโรงพยาบาล ลดคชจ.ไปได้อีก ซึ่งเคสของคุณหมอจะลดราคาให้ผู้ป่วยตรงนี้) แต่ละเคสจะบวกลบจากนี้ตามความยากง่าย และกระบวนการดูแลในช่วงการอยู่รพ. ก่อนกลับได้รับหนังสือผลงานคุณหมอเขียนเองมาเล่มนึงก่อนกลับ เนื้อหาดีมาก บางเคสก็สามารถอยู่ต่อเพื่อทำกายภาพฯ และนอน รพ.ต่อได้ แต่เราเลือกกลับบ้านแล้วเดินทางมาทำกายภาพที่ รพ.ต่ออีกอาทิตย์นึง (คชจ.การทำกายภาพต่อวันสำหรับเข่าสองข้าง 1,500 บาทต่อครั้ง)

** การดูแลหลังการผ่าตัด และเมื่อผู้ป่วยกลับบ้าน **


ก่อนกลับเข้าบ้าน ต้องจัดหา Walker อุปกรณ์ช่วยเดิน ซื้อได้ตามร้านเวชภัณฑ์ ราคาอยู่ที่ ห้าร้อยกว่าบาทถึงหลักพัน เมื่อกลับมาบ้านแล้ว ยังต้องมีวิธีการบริหารร่างกาย บริเวณแผลผ่าตัดจะอุ่น ๆ เกิดจากการซ่อมแซมแผน โดยจะเป็นประมาณ 3 เดือน โดยเฉพาะหลังการออกกำลังกายงอเหยียด ดังนั้นจึงยังต้องประคบเย็นอยู่ตลอดเวลา อุปกรณ์คู่กายที่เตรียมไว้ตลอดเวลาคือ เจลประคบเย็น ซึ่ง รพ.จะเตรียมไว้ให้ 8 ชิ้นด้วยกัน

ผ่านมา 1 สัปดาห์หลังการผ่าตัด ความโก่งงอก็จะเห็นการเปลี่ยนแปลงได้ดีขึ้น และคงใช้เวลาอีก 2-3 เดือนกับการฟื้นคืนสภาพการเดินได้อย่างคล่องแคล่วเหมือนเดิม


26 ก.ค. 57
คุณหมอนัดตรวจหลังออกจากรพ.ไป 10 วัน เพื่อเปิดแผล นั่นหมายถึงแผลถูกน้ำได้แล้ว ค่าใช้จ่าย 3,240.- เมื่อเปิดแผลการสวมใส่เสื้อผ้าก็จะต้องให้โปร่ง ๆ ไม่เสียดสีบริเวณแผล
23 ส.ค. 57
1 เดือนครึ่งหลังการผ่าตัด คุณหมอก็นัดเข้าตรวจแผล และดูการเหยียดยืดว่าทำได้มากน้อยแค่ไหน คนไข้ยังคงเนืองแน่น ส่วนแผลเริ่มแห้ง บางคนก็จะนูน ๆ บางคนก็เรียบ เปิดโชว์แข่งความสวยของรอยแผลกันใหญ่ ค่าใช้จ่ายวันนี้ 900 กว่าบาท เนื่องจาก คุณแม่นอนไม่ค่อยได้ในตอนกลางคืน

ตอนนี้ผู้ป่วยสามารถเปลี่ยนจาก Walker 4 ขาเป็นแบบ 3 ขาและเดินปล่อยได้แล้ว

พฤศจิกายน 2557
ผ่านมา 4 เดือนเดินได้คล่องแล้ว ไม่ต้องใช้อุปกรณ์ช่วยเดิน ขาตรง แผลเริ่มจางลง เข่าพับงอได้ดี (คนไข้ต้องมีวินัยในการออกกำลังดีด้วย) แต่ข้างที่เจ็บมาก (ข้อเข่าชำรุดมากกว่า) การพับงอจะไม่ดีเท่า คุณหมอยังคงนัดดูอาการ ความคืบหน้า แต่ระยะเวลาจะทิ้งห่างขึ้นเรื่อย ๆ

ผ่าตัดข้อเข่าเสื่อม – 4 เดือนผ่านไป
31 มกราคม 2558 (นัดตรวจหลังผ่าตัด 6 เดือน)
วันนี้คุณหมอนัดตรวจและมี X-Ray สภาพข้อเข่า เช็คการพับงอ ทุกอย่างผ่านไปด้วยดี (ต้องยกผลงานให้คุณหมอเลย เก่งมาก ๆ )
ปล. ขอบคุณคุณหมอที่อนุญาตให้เผยแพร่ภาพ
คนไข้รอคิวกันเยอะแยะมากมายเหมือนเดิม นั่งคุยถ่ายทอดประสบการณ์แลกเปลี่ยน ทั้งคนที่มาตรวจกำลังตัดสินใจ คนที่ผ่าแล้ว คนที่อยู่ระหว่างรักษาตัว ค่าใช้จ่ายในการตรวจและ X-Ray วันนี้ 1,420.-
[ Update ] 19 สิงหาคม 2561
วันนี้เข้าไปตรวจ หลังไม่ได้เข้าไปพบคุณหมอมา 2 ปี และหลังจากผ่าเข่าไป 4 ปีกว่า ก็มีการจับ X-Ray และเข้าคิวพบตามลำดับ คนไข้ยังคงเยอะมากมายเหมือนเดิม มีหลาย Step ของอาการ (ซึ่งเราผ่านมาหมดแล้ว) อาการปกติ หัวเข่ายังประสานดี แข็งแรงดี พบกันอีก 2 ปีมาตรวจใหม่
หลายท่านโพสต์ถามเข้ามา ยินดีที่เป็นส่วนหนึ่งที่ให้ประสบการณ์ ข้อมูลที่เผื่อจะเป็นประโยชน์ได้บ้างค่ะ ^__^



